Ivan Malčić1, Lidija Srkoć Majčica1, Darko Anić2, Dražen Belina2, Maja Hrabak Paar3, Dražen Jelašić4 and Sanja Konosić5
Received: March 23, 2026; Published: April 08, 2026
*Corresponding author: Prof. dr. sci. Ivan Malčić, Medical Faculty Zagreb, Clinical Hospital Centre Rebro, Department of Paediatric Cardiology, Kišpatićeva 12, 10 000 Zagreb, Croatia
DOI: 10.26717/BJSTR.2026.65.010167
Goal: Congenital absent pulmonary valve (APV) with and/or atypical ductus arteriosus (Botallo) (DA) dysfunction (APV/DAD) may cause a wide spectrum of heart anomalies. The goal of this study is to describe the clinical appearance, present prenatal (foetal) and postnatal diagnostic methods, course and outcome this rare entity who is often overlooked.
Methods And Results: We present four patients, all with the entity manifested as a absent (dysfunctional) pulmonary valve with various stenosis and insufficiency degrees and as a pathological enlargement of MPA and RPA dilatation, with consecutive pathological impression on large airways and consequently respirational insufficiencies with lethal outcomes also as possibility. In at least three patients there is also atypical pathology of DA, and wide spectrum of pathologic changes in the right cavities of the heart: RV hypertrophy, RA enlargement, non-compaction cardiomyopathy and tricuspid insufficiency. In two patients the defect was diagnosed in utero. We followed the guidelines suggested in recent literature;
1. Prenatal diagnosis as an imperative,
2. Early cardiosurgical correction with an implantation of valved RV-PA conduit.
3. Plication of pulmonary artery or “Le Compte manoeuvre” with the aim to relieve the bronchial compression.
Two patients died because of right ventricle insufficiency or respirational insufficiency due to airway compression. Deletion syndrome (22q11.2 or 18q deletions), mentioned in the etiopathogentic consideration as part of the conotruncal anomalies spectrum, was not determined in any of the patients. Surviving patients remain under constant supervision of paediatric cardiologists.
Conclusion: Congenital pulmonary valve dysfunction and/or atypical DB dysfunction in foetal period are a possible cause of dysplasia of pulmonary valve with consequent stenosis and insufficiency, as well as a spectrum of anomalies in right cardiovascular cavities and valves. Prerequisite for successful treatment is early (prenatal) diagnosis of the syndrome, early cardiosurgical intervention (ductus ligation and valved conduit RV-PA implantation) and plication of aneurismatic dilated pulmonary arteries with the aim to relieve the airways of their compression. The spectrum of changes is better recognised if one considers the theoretical assumption about a possible disorder of migration of neuroectoderm into the mesenchymal substruction on the heart, same as with other conotruncal anomalies.
Keywords: Pulmonary Valve; Ductus Arteriosus (Botallo); Congenital Insufficiency and Dysfunction; Foetal Echocardiography; Early Prenatal Development; Early Treatment; Valved Rv-Pa Conduit; Le Compte Manoeuvre
Abbreviations: APV: Absent Pulmonary Valve; DA: Ductus Arteriosus; FNT: Foetal Nuchal Translucency; CHD: Congenital Heart Defect; PS: Pulmonary Stenosis; RVH: Right Ventricular Hypertrophy; VSD: Ventricular Septal Defect; TI: Tricuspid Insufficiency; APVS: Absent Pulmonary Valve Syndrome; NC-RVCM: Non-Compaction Right Ventricular Cardiomyopathy; mPA: Mean Pulmonary Artery Pressure; FISH: Fluorescence in Situ Hybridization
Many congenital heart defects are extremely rare and over a long period of time can change even the basic diagnosis. The diagnosis itself can change thanks to already established principles in paediatric cardiology, such as Clark’s etiopathogenetic basis or the extremely dynamic influence of genetic knowledge. Despite this, some diagnoses persist in publications, regardless of the distinction that appears with new knowledge. Among these is the diagnosis entitled Absent pulmonary valve syndrome (APVS) and the names for its two forms, the isolated form and the tetralogy type of APVS. Regardless of the extremely widely educated paediatric cardiologists [1] both forms are still used today, although there are serious reasons to change the nomenclature with clarification of the extremely broad morphology, the possible etiopathogenetic basis (conotruncus anomalies) and the latest assumptions about the influence of pathology of the Botallo’s duct itself. Thanks to literature reports and communication that is increasingly developing in the direction of COR/LOE (Common of recommendation on the level of evidence), this severe anomaly becomes curable if the latest guidelines for recognizing pathology through foetal cardiology examination, early diagnosis and immediate medical and early cardiosurgical intervention achieve excellent success in saving the lives of these difficult patients. This presentation is focused precisely on the effort to include all theoretical diagnostic and therapeutic approaches to achieve an optimal perspective for the life of even the most difficult patients with congenital heart defects.
We particularly refer to the terminology of the described PSG, with the belief that the term APVS (TF Type) is incorrect because TF is manifested by sub-infundibular stenosis (and in these patients there is no infundibulum), every TF has a VSD, but a wide TPA- RPA, and TF always has a larger PA diameter than the aorta. We especially refer to the urgent need to start as early as possible postpartum with cardiosurgical correction that saves life and that by early upgrading of the valved conduit RV-PA (and closure of VSD if it is associated with the anomaly. Given that there is no evidence that this is a phenotype belonging to conotruncal anomalies, more attention should be paid to the recent knowledge that DA Botallo is in the centre of attention.
Congenital deficiency of the pulmonary valve is also called “agenesis of the pulmonary valve”, and it basically represents a spectrum of errors of the right heart structures that are the result of incomplete development and therefore disturbed function of the pulmonary valve. According to the literature, this entity is routinely called APV syndrome (absent pulmonary valve syndrome) [1]. The first description was given by Cheveres already in 1847, and he defined the entity as a complete or subtotal lack of leaflets of the pulmonary valve [2]. Stenosis and insufficiency of an incompletely developed and incompetent pulmonary valve were considered from the beginning as the reason for the development of pathological dilatation of the pulmonary artery trunk and both of its branches, most often RPA. Depending on other associated cardiac abnormalities according to most of the available literature there are 2 main forms. The first, more common form, is associated with an interventricular septal defect and is therefore called the tetralogy form, while the second form is associated with an intact interventricular septum and is also called the isolated form [3], and cardiac surgical approaches have developed accordingly.
The main complication, and the most important prognostic factor, is tracheobronchial compression and damage to the lung parenchyma due to pressure from aneurysmal altered pulmonary arteries. The choice of treatment itself depends on a multitude of different factors, and recommendations have changed significantly throughout history [4,5]. Definitive guidelines for the successful treatment of this rare syndrome emerged with the development of foetal echocardiography and the correct recognition of the disease in utero [6,7]. With the development of foetal cardiology, more attention has been paid to the ductus arteriosus and the interaction of prostaglandins and the duct. Recent studies have shown that APV syndrome is often associated with anomalous development of the duct. It is assumed that the pathological development of the ductus arteriosus affects the maturation and normal function of the right heart structures, including the pulmonary valve [8]. Based on observations from our practice, including experiences from the foetal age, we find that patients with the basic diagnosis of APV syndrome had the most frequent and severe anomalies of Botallo’s ductus and more extensive anomalies of the right heart structures than initially described, so we decided to present our observations.
We present four patients with the mentioned entity who were hospitalized in our Clinic in the last 3 years. All four had a foetal cardiac examination, but it seems that the searchers did not always have in mind the possible syndrome we want to present. In one patient, fluid accumulation in the nuchal region (foetal nuchal translucency, FNT) was observed as early as 14 weeks of gestation, but later (22 weeks) only a general suspicion was raised on CHD (Pat. 1). The situation is similar with the second patient (patient 3), in whom a congenital heart defect (CHD) was also suspected at 23 weeks’ gestation, with the addition that it was pulmonary stenosis (PS) with consecutive right ventricular hypertrophy (RVH). This ignores the fact that the previous pregnancy was terminated at 14 weeks’ gestation due to cystic hygroma. In two children (patients 2 and 4), the correct diagnosis was already made prenatally by foetal echocardiography. In both patients, a very wide pulmonary artery trunk (TPA) and the right pulmonary artery branch (RPA) dominated, and the pulmonary valve in both was deficient and manifested as a ridge without the function of opening in systole and closing in diastole, therefore, with stenosis and insufficiency (patient 2) or only with severe insufficiency (patient 4).
Consequently, they had RVH with suspicion of non-compaction right ventricular cardiomyopathy, more so in patient 4 than in patient 2 (Figure 1A-1D. – patient 2 and Figure 2A-2D-patient 4). Anomaly of ductus arteriosus is suspected in both of patients; in patient 2, a small, restrictive anomalous duct, through which only LPA is supplied, and which is separated from TPA (Figure 3A-3D - patient 2), in patient 4 there is an atypical, wide, tortuous arterial duct through which it enters the TPA, and then through the deficient PV into the RV. Massive insufficiency behind the trunk of the pulmonary artery towards the right ventricle is shown, and then the right ventricle with severe non-compaction cardiomyopathy (Figure 4A-4D - patient 4). In the other two patients, the ductus was not noted in the foetal cardiological examination. Interestingly, all pregnant women had problems during pregnancy; two had gestational diabetes mellitus and arterial hypertension, one had foetal hydrops and cystic hygroma (termination of previous pregnancy at 14 weeks), and one had a previous spontaneous abortion of unexplained aetiology. There is no information on any drug therapy during pregnancy.
All four deliveries were spontaneous (vaginal), one child was born prematurely at 31 weeks of gestation and with a birth weight of 1540 g, and the others were born at 36-40 weeks, with a normal birth weight. Three children had postnatal cyanosis with dyspnoea and were treated with oxygen, and one patient was resuscitated and immediately placed on mechanical ventilation with inotropic support (patient 1). (Table 1). He remained on mechanical ventilation practically until the end of his life at the age of 2 years. Based on the data in Table 2 (Table 2), a large difference is observed between the prenatal and postnatal diagnosis in two patients (1 and 3). Although both were examined (according to the available data prenatally on two occasions), only a generalized diagnosis of possible CHD was made in them, mainly due to suspicion of ventricular septal defect (VSD) and pulmonary stenosis (PS). In both cases, it is evident that the prenatal diagnosis did not pay attention to the circumstance of possible pathological DA, dilatation or hypertrophy of the right ventricle and atrium or tricuspid insufficiency (TI). Patient 1 had the so-called tetralogy type and probably did not have DA, and patient 3 had an isolated type with severe PS and wide pulmonary blood vessels.
Note: Legend: GE : Gestational Age; W: Week; FNT: Foetal Nuchal Translucency; BW: Body Weight; CHD: Congenital Heart Disease; GDM: Gestational Diabetes Mellitus; AH: Arterial Hypertension; RPA: Right Pulmonary Artery; RVH: Hypertrophy Of Right Ventricle; NCCMRV: Non Compaction Cardiomyopathy Of The Right Ventricle; MV: Mechanical Ventilation; CH: Cystic Hygroma.
Note: Legend: RA: Right Atrium; RV: Right Ventricle; RVH: Right Ventricular Hypertrophy; CHD: Congenital Heart Disease; APV: Absent Pulmonary Valve; RPA: Rihgt Pulmonary Artery; RVH: Right Ventricular Hypertrophy; PVI: Pulmonary Valvular Insufficiency; PVS: Pumonary Valvular Stenosis; NCCMRV: Non Compaction Cardiomyopathy Of Right Ventrilce; LPAH: Left Pulmonary Artery Hypoplasia; PVI: Pulmonary Valve Insufficiency; PDA: Persitent Ductus Arteriosus; EL: Exitus Letalis; VSD cl.: Closure Of Vsd; DA lig.: Ligaturo Od Ductus Arteriosus; m: Male, f: Female.
In patients 2 and 4, all pathological findings in the mentioned segments of the right heart are described, and on this basis the correct prenatal diagnosis was made with the name APVS (Absent pulmonary valve syndrome). In both cases, a pathological arterial duct is suspected, which was also shown by the postnatal diagnosis, and in both cases, right ventricular cardiomyopathy is also suspected, with the fact that in patient 4, who has an isolated form of APVS, the entity form of cardiomyopathy is referred to as non-compaction right ventricular cardiomyopathy (NC-RVCM), and in patient 2, it is only described right ventricular hypertrophy. It is extremely important to note that the patient with the so-called tetralogy type had a small, stenotic, atypical duct through which only the left branch of the hypoplastic pulmonary artery was supplied.
In the postnatal diagnosis, all patients had dilatation of the right atrium, insufficiency of the tricuspid valve of varying degrees, dilatation and hypertrophy of the right ventricle, and clear changes in the defective pulmonary valve, which was the cause of severe stenosis in three patients (1,2,3), with a gradient of 60-90 mmHg (Figure 1D, patient 1), and all of them simultaneously had severe insufficiency in the same level of degree II-III, and in patient 4 only severe insufficiency dominates without registered stenosis (Figure 2C, pat. 4)). We reliably found pathological DB in three patients (2,3,4), with the fact that one duct was constricted and directed into the hypoplastic left PA that was separated from the right (Pat. 2) (Figure 3B,C & D, Pat. 2) in the frame of the TF type.
One DA was aneurismatic dilated (Pat. 3), and one was atypically tortuous and wide (Figure 4, Pat. 4)). A ductal anomaly should also be suspected in the first patient (Pat. 1) who was born as a premature child, but it was not diagnostically verified in the period until it theoretically could have closed delayed (3 months after delivery), but a complete absence of the ductus is also possible because it is the socalled TF type of APVS. In addition to the aneurysmal expansion of the TPA, all patients also had marked dilatation of the RPA, and only one had extremely wide both branches of the pulmonary artery (patient 3). We note that as many as three patients had hypoplasia of the left branch of the pulmonary artery (patients 1, 2, 4) (Figures 3 & 4), and patient 2 had extreme hypoplasia of the LPA, which filled through the restrictive DB, and was initially completely separated from the RPA. In patient 3, in whom VSD was mentioned prenatally, we did not find it postnatally, and two patients (pat. 1,2) had right-sided anomalies with subaortic VSD. We did not use the term TF anywhere with certainty because we believe that the basic characteristic of TF is a significantly smaller pulmonary artery than the aorta, while our patients with VSD (pat. 1 and 2) had a significantly wider PA than the aorta. The mean pulmonary artery pressure (mPA) in one patient (pat. 1) was 31 mmHg (measured at the age of 11 months), and the other patients had mPA below 25 mmHg. (pat. 2,3,4).
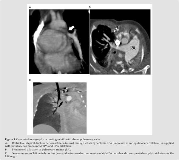
Among the imaging methods that help to clarify the specific anatomical changes and relationships, as well as the evolution of this anomaly, computed tomography stands out. However, imaging alone may be insufficient without other clinical symptoms and imaging studies. For example, restrictive and atypical DB may appear in an isolated view as an aortopulmonary collateral (Figure 5A, patient 2), while in this case it is an atypical, restrictive DB through which a hypoplastic LPA (which is not connected to other parts of the pulmonary tree) is supplied. Some images clearly show marked dilatation of the trunk and pulmonary arteries (right and/or left branches), and their possible progression (Figure 5B, patient 4). The progression is consistent with the development of the clinical picture, i.e. with obstruction of the left bronchus due to dilatation of the TPA or RPA. Timely imaging allows for a decision on the most urgent cardiosurgical intervention, as complete bronchial obstruction leads to atelectasis of the left lung and possible irreversibility of the condition from which recovery is very difficult (Figure 5C & D). MSCT imaging can be supplemented with bronchoscopy.
Two of our patients (patients 1 and 4) experienced atelectasis of the entire left lung. Early cardiosurgical intervention in patient 4 prevented a probable lethal outcome of the disease or long-term and difficult care of the child due to terminal respiratory failure (patient 1). Two patients died (patients 1 and 3). The first patient was practically connected to a respirator for his entire life due to airway lesions because he was managed as a TF, and his VSD was closed at the age of one year, with the installation of an RV-PA conduit, but without the LeCompte manoeuvre. He continued to suffer from lung atelectasis, and despite subsequent bronchopexy, he died at the age of 2 years. Patient 3 was first treated with the placement of a transannular patch at the age of 8 days (probably due to dominant stenosis), after which his condition deteriorated significantly, and at the age of 2 weeks he received a valvular conduit, but despite this he died a few days later due to right-sided cardiac arrest and multiple organ failure in postoperative sepsis. Patient 2 was operated on at the age of 7 weeks; the VSD was closed, a Contegra conduit 12 mm with a valve was placed, the aneurysmal dilatations of the TPA and RPA were reduced, the restrictive DAB to the LPA was ligated, the LPA was connected to the TPA and RPA, and a stent was implanted in the hypoplastic LPA. An excellent recovery followed (Ross I).
Re-catheterization at the age of 14 months shows a recurrent aneurysm of the right branch of the pulmonary artery (Figure 6 A & B, pat. 2), and a stenotic process with insufficiency at the junction of the conduit (Figure 6C & D, pat. 2). The images show a still hypoplastic LPA and a predominant flow of contrast through the right lung. Patient 4 had a ligature of tortuous (wide) DB at the age of 7 days, and after atelectasis of the left lung, due to compression of the RPA on the left bronchus, at the age of 3 months, a LeCompte manoeuvre was performed and a 12 mm Contegra conduit with a valve was implanted. He is currently recovering well with hope for a cure (Table 2). In the further course of the disease, we expect the main problems to be due to non-compact right ventricular cardiomyopathy. Fluorescence in situ hybridization (FISH) was performed in all patients to exclude deletion syndrome (q22.11) because it is believed that the described changes belong to etiopathogenetic conotruncal anomalies, but no deletion was found in our patients.
Anglo-Saxon terminology is often incorrectly “Croatized”, so an introduction to clarifying the term “absent” is necessary here. Namely, APVS (Engl, absent pulmonary valve syndrome) has already become established in its own way, but it seems to us that it is translated too loosely as “lack or non-existence” of the pulmonary valve. We have already introduced the term “congenital pulmonary valve deficiency” in the title itself, and then immediately “dysfunction of the atypical ductus Botallo”. The term “deficiency” is different from the term “lack or non-existence” with which the term “absence” is identified in our language. This term is also polysemantic in German, but it better describes the actual condition with several nouns synonyms: das Fehlen - insufficiency, der Mangel - absence, defect with insufficiency (deficiency), das Versäumnis - failing - error (according to the term failing Fontan - non-functional Fontan). Therefore, the term defective is synonymous with the term non-functional or insufficient or poorly functioning (failing). If we were to express ourselves in jargon, we could say, pulmonary valve with a “failure”. We immediately added the term dysfunction of atypical ductus Botallo to the basic name, motivated by the fact that recent literature considers the assumptions that an atypical ductus arteriosus or its absence is the reason for the existence of a defective pulmonary valve, but also other changes in the cardiovascular structures of the right heart [8,9].
Another reason is the fact that our patients with a defective pulmonary valve also had atypical forms of the ductus arteriosus; patients with the so-called TF type had in patient no. 1. probably premature absence of the ductus, patient no. 2. had a restricted small ductus with hypoplasia of the LPA and separation of the TPA and LPA. Although the pulmonary valve tissue is present in the anatomically expected location, its function is impaired in a way that can cause stenosis and/or insufficiency, and dilation of the pulmonary arteries is always present to the extent that the main symptoms and possible causes of lethal outcome are precisely the compression of the airways by aneurysmal dilated pulmonary blood vessels [1,8,10]. Back in 1847, Cheevers described the “absence” of the pulmonary valve with associated subaortic VSD and agenesis of the ductus Botallo, which he called the tetralogy type of anomaly [1,2], and the second type of anomaly has an intact septum and most often an atypical ductus Botallo [1,8,11], and is called the isolated form of APVS. In addition to these two most common forms, the literature describes cases with associated other cardiac abnormalities such as tricuspid valve atresia, double outlet from the right ventricle, transposition of the great vessels, branching abnormalities of the pulmonary artery and their various combinations [5,8,9,12].
Due to the relatively small number of patients, the frequency of certain types is discussed [1,7,12] or is said to be unknown [13]. Two of our patients had an associated subaortic VSD, so they can be called the tetralogy type, and two had the so-called isolated type. However, we think that the name tetralogy type is only of historical meaning due to inertia in terminology, and that according to the definition APVS with VSD does not have the most basic properties of TF. Apart from the most basic assumption that in TF the aorta is wider than the pulmonary artery (which is not found in this syndrome, but rather the other way around), Eckner and Anderson [14,15] state the following characteristics of TF:
1. Anterior displacement of the aorta (anteposition),
2. Wide VSD with septo-aortic continuity disorder of varying expression,
3. Increased septoparietal trabeculation and development of annular obstruction at the mouth (lower part) of the infundibulum and consequently
4. Right ventricular hypertrophy. According to Eckner [14], The infundibulum forms a chamber (“ample room”), the intensity of which disorder also determines the degree of expression of the defect itself in the clinical picture. Although valvular stenosis is also present in TF, the degree of expression of TF depends precisely on the degree of infundibular transformation (narrowing of the space between the muscular “outlet” septum and the more distally located septoparietal trabeculation). Therefore, infundibular stenosis is necessary for the diagnosis of TF, and it is not present in these patients. Therefore, in our opinion, the tetralogy type of APVS is a name of historical significance only.
Despite many assumptions, the aetiology of pulmonary artery dilation itself has not been clarified, although several different mechanisms have been proposed throughout history, from histological disorders of the structure of pulmonary arteries to post stenotic dilation due to turbulent blood flow [7,5,12,16,17]. In recent times, more works talk about the disturbance of foetal circulation due to increased or decreased flow through the ductus arteriosus as the basic pathogenetic mechanism of the above mentioned changes [4,6,8,9,11,14,15,18]. APVS mostly occurs sporadically, but in a certain number of tetralogy forms, a deletion of 22q11.2 was found, and in a very small number of isolated forms of APVS, a deletion of 18q was found [1,7,8,12], and in some already at prenatal age [19]. In our patients, we did not find a deletion on the long arm of chromosome 22.
In the times before radical surgical options and methods, the main attention was directed to symptoms resulting from airway obstruction by pathologically dilated vascular structures. Therefore, frequent infections, atelectasis, ventilator dependence and associated complications occurred in this treatment, and early poor disease outcomes were described [1,4,5,7,20,21]. Later surgical approaches did not always give the expected results. Our first patient also barely lived to her second year of life. She was born prematurely, and the primary diagnosis was initially Tetralogy of Fallot, the VSD was closed only at the age of one year, and then a conduit was placed between the right ventricle and the pulmonary artery. Despite this, severe respiratory problems continued until the end of life (2 years). The therapeutic protocol has changed greatly due to new knowledge and diagnostic methods [12]. In the so-called tetralogy of APVS, other associated cardiac abnormalities were treated surgically at the same time, although VSD closure with patch plastic was the main operation. Waldhausen et al. proposed cavo-pulmonary anastomosis in 1969, with the aim of disburden the right ventricle, which should also reduce the compression of dilated blood vessels on the airways, and some authors in the earlier history of the treatment of this entity advocated various aortopulmonary palliative communications (shunts) [5,10].
Pinski et al. already in 1978 noted the importance of intensive respiratory therapy, except in children with elevated pulmonary artery pressure, in whom they advocated early implantation of a pulmonary valve [4]. In 1983, Stellin et al. presented a new arterio-plasty technique that includes resection of the anterior wall, plication of the posterior wall, and shortening of the pulmonary artery trunk [20]. According to the Mayo Clinic guidelines from 1985, the insertion of a valve or a conduit with a valve is recommended along with a reduction in the size of the pulmonary arteries, and a similar approach was later advocated by many authors. In 1996, Godart and his associates began to advocate pulmonary arterio-plasty without the insertion of a valve or a conduit with a valve as the initial therapy, except in children with elevated pulmonary artery pressure, where they nevertheless decided to implant a conduit [5]. As knowledge of the syndrome grew, new therapeutic methods and attitudes developed which suggest early surgery with the placement of a conduit between the right ventricle and the pulmonary artery, and a special contribution was made by the attitude on the need for the LeCompte operation [12,21,22]. In 2000, Hraška described the LeCompte manoeuvre of moving dilated pulmonary arteries in front of the aorta with the aim of reducing bronchial compression, and the same approach was later advocated by other authors [12,23].
In 2003, Grotenius et al. advocated early duct ligation in patients with isolated APVS before signs of cardiorespiratory failure [17]. A review of the available literature did not find a single therapeutic protocol, but treatment depends on the form of APVS, associated cardiac abnormalities, age, bronchial involvement, and clinical condition of the patient [5,16,17,20,22]. Thanks to all this, the overall outcome of this severe anomaly is improving [23]. Numerous cardiac surgical approaches have also been used in our patients, depending on the phenotypic expression of the anomaly itself: early ligation of the ductus arteriosus, early implantation of RV-PA leads, reduction of aneurysms of dilated vascular structures, closure of VSD with patch, stent implantation in the hypoplastic left pulmonary artery, and others (see Table 2). The last patient underwent a LeCompte manoeuvre, which completely improved the condition and opened hope for a cure. In our conditions, we achieved good results only when we took account all three recommendations from the literature: recognition of the anomaly in foetal age, early cardiac surgical approach, and implantation of a lead between the right ventricle and the pulmonary artery.
Special attention deserves the latest reports from the literature regarding the assumption that a special role in the development of the described anomalies is played by the anomaly of the ductus arteriosus. As early as 2002, Yeager discussed the prenatal role of the arterial duct in the development of APVS. In 2014, Quereshi described two patients with tetralogy of Fallot who developed APVS, probably because they did not have a Botallo’s duct., in the phenotypic expression of the defect with the right aortic arch and retroesophageal left subclavian artery, but without a vascular ring. He concludes that every APVS that has a VSD does not have a ductus (TF type), and children with APVS that is not called an isolated form (no VSD) have DB. However, if the TF type of APVS has a ductus, it supplies only the left pulmonary artery that is discontinuous with TPA. This is exactly how we can describe our patient no. 2; tetralogy type of APVS (has a VSD), but also has a DB, which, however, supplies only the left branch of the pulmonary artery, which is discontinuous from the pulmonary trunk and is hypoplastic.
The patient received an early Contegra conduit, the VSD was closed, the LPA was connected to the TPA, and a stent was implanted in the LPA with ligation of the atypical, stenotic duct through which the LPA was supplied. In addition to this description, we find other similar descriptions [9,24]. The most recent report on the importance of the pathological form of the Botallo’s duct for the development of right-sided lesions described within the concept of APVS was given by Gewillig in 2017 on the example of 27 fetuses diagnosed with a dysfunctional Botallo’s duct [8]. He believes that various anomalies of the duct may be the reason for changes in the right heart, primarily in the pulmonary valve, and then in the pulmonary blood vessels. He mentions ductus obstruction, transient constriction, kinking (kneelike fold) and aneurysm, i.e. tortuous and wide ductus of Botallo [25]. He also mentions the right ventricle as a potential site of suffering, including the development of non-compaction cardiomyopathy. Our paper describes in detail an isolated form of APVS (patient 4) who had a wide, tortuous (siphonic) ductus (early ligation), and in addition to other described anomalies, had severe non-compact cardiomyopathy of the right ventricle (see Figures 2 & 4).
It is precisely thanks to the development of foetal cardiology and the aforementioned findings from the literature that APVS can be treated successfully in our conditions if we adhere to the initial guidelines;
1. Early recognition of the syndrome (prenatal diagnosis),
2. Early cardiac surgical intervention (ductal ligation),
3. Implantation of a valved conduit between the right ventricle and the pulmonary artery,
4. Plication of aneurysmal dilated pulmonary arteries and
5. Release of the airways from their pressure - LeCompte manoeuvre.
