Li Pengju1, Yang Li1, Pan Yingwen3, Li Yujing4, Xu Jin1,2, Li Mingfu1,2 and Song Yun1,2*
Received: November 17, 2025; Published: December 11, 2025
*Corresponding author: Song Yun, Institute of Plant Quarantine, Chinese Academy of Quality and Inspection & Testing, Beijing 100176, China
DOI: 10.26717/BJSTR.2025.64.010006
Rhizoctonia solani, a pathogen with a broad host range, propagates through its hyphae in the soil, invading plant roots or seeds, and subsequently affecting surrounding plants. Given that the pathogenic fungus continues to develop within the crop population after infection, early detection of the pathogen and timely prevention measures are crucial for reducing losses and preventing the spread of the disease. In this study RPA (Recombinase polymerase amplification) specific primers and fluorescent probe were designed based on the ITS sequence of Rhizoctonia solani and an RPA-real time detection method for Rhizoctonia solani was established. By optimizing the reaction conditions of RPA, the optimal conditions for RPA detection method were 39℃ for 30 min. This assay can distinguish Rhizoctonia solani from other related species. The sensitivity of RPA-real time detection method for Rhizoctonia solani can be achieved at 6×10-2 ng/μL. The method for Rhizoctonia solani diagnosis using RPA-real time, which is rapid convenient and sensitive can provide a new rapid assay for the detection of Rhizoctonia solani.
Keywords: Rhizoctonia solani; ITS; Real-time RPA
Rhizoctonia solani, a significant soil-borne pathogenic fungus belonging to the genus Rhizoctonia, is a harmful organism with a wide range of hosts [1]. It is known to infect 263 plant species across 43 families, including important crops such as legumes, grasses, and crucifers. In the biosafety risk assessment of introducing medical plant seedlings from abroad, R. solani is one of the primary harmful organisms targeted for detection. This fungus can exist in the form of mycelium or sclerotia in diseased plant residues and has a broad host range. Once it spreads to planting areas through transportation or other means, it can lead to crop yield reduction or even total crop failure, causing significant economic losses to agricultural production [2-7]. Currently, the identification of R. solani mainly relies on mycelial fusion method, rDNA-ITS method, and isoenzyme method for identification [8-11]. Reports on the harm caused by R. solani have been documented in some potato-growing regions in China, where potato yields have been severely affected [12]. Therefore, rapid disease detection technology as a key approach to reduce agricultural losses caused by this fungus is crucial for early detection and prevention. However, existing technologies cannot meet the practical needs for rapid detection with high sensitivity. With the development of molecular biology technology, DNA molecular marker technologies such as RAPD, RFLP, real-time PCR, LAMP, RPA-LFD, etc. have been widely applied in species identification. Recombinase polymerase amplification (RPA) technology is an isothermal nucleic acid amplification technique that is favored in many fields due to its high sensitivity, specificity, and simple operation.
In recent years, it has also been widely used in the early identification of plant pathogens [13-19]. RPA amplification products can be detected by various methods such as gel electrophoresis, fluorescent labeling, and test strips, among which the RPA real-time fluorescent detection method can observe results during the amplification process, providing the fastest detection speed. Currently, the only molecular technology for detecting Rhizoctonia solani at home and abroad is the TaqMan qPCR detection technology [20]. There are few studies on the rapid detection of Rhizoctonia solani using RPA, and only an RPA test strip detection method for Rhizoctonia solani causing tobacco target spot disease has been constructed [21]. This study established an RPA real-time fluorescent detection method for Rhizoctonia solani, which can be applied to the rapid identification of diseases transmitted by foreign medical plant seedlings [22]. It plays an important role in the quarantine process at entry ports and provides technical support for staffs to rapidly identify Rhizoctonia solani.
Sampling Materials
Shaanxi Normal University provided Rhizoctonia solani, Fusarium oxysporum, Colletotrichum gloeosporioides penz, Botrytis cinerea, China Agricultural University provided Rhizoctonia solani, Puccinia polysora, Puccinia striiformis (Table 1).
DNA Extraction
DNA was extracted from test strains using Rapid Plant Genomic DNA Isolation Kit (Sangon Biotech), the extracted DNA was dissolved in 50μL ultrapure water and then was stored at -20℃ for further use.
Designing RPA Primers and Probes
The ITS region of Rhizoctonia solani (GenBank accession no.MF447834.1, LC384929.1, HE667746.1) were compared with those of other test strains (GenBank accession no. MT968495.1, KC913203.1, KY031689.1, EU014048.1). The fluorescent RPA primers and probes were designed according to the variant gene site, The details of these primer pairs, along with the fluorescent probe, are summarized in Table 2.
RPA Reaction System
RPA reactions were performed using the TwistAmp exo Quick kit (TwistDx, Cambridge, UK) in 50 μL of reaction systems, utilizing 7500 Fast Real-Time PCR Systems (Applied Biosystems, the USA). Each reaction contained 29.5 μL of buffer, 2 μL of each forward and reverse primer (10 μM), 0.6 μL of probe (10 μM), 1 μL of template genomic DNA, 2.5 μL of magnesium acetate (280 mmol/L) and 12.4 μL of ddH2O. The reaction was initiated by centrifugation of the pellet, followed by reaction of the tubes at 39°C for 30 minutes.
Specificity and Sensitivity of RPA Assays
DNA templates from Rhizoctonia solani and its closely related species were selected for analysis of the detection specificity, Distilled water was employed as the negative control. The specificity was tested by both PCR and fluorescent RPA. In the sensitivity determination experiments, Genomic DNA from Rhizoctonia solani and its closely related species were serially 10-fold dilution of the initial concentration of 60 ng/μL. The results were directly examined in the UV gel system for visualization and fluorescence amplification curves.
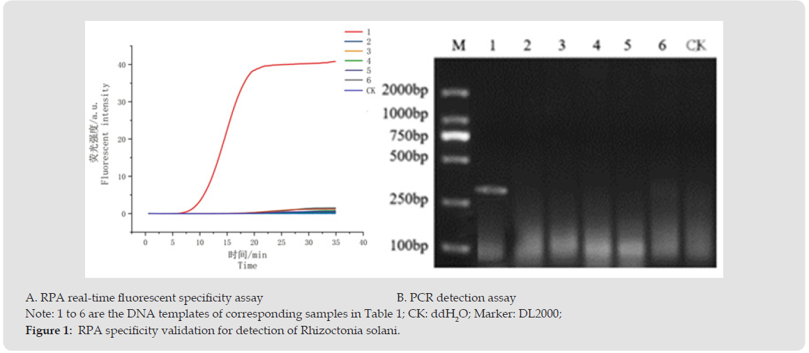
RPA specificity validation for detection of Rhizoctonia solani was conducted using DNA from Rhizoctonia solani and its closely related species as templates. As shown in Figure 1A, for the RPA real-time fluorescent specificity assay, Rhizoctonia solani (sample NO.1 in Table 1) successfully generated an ‘S’-shaped trend fluorescence curve, indicating amplification. while genomic DNA fluorescence amplification curves of its closely related species overlapped with CK (ddH2O), showing no clear amplification curve (Figure 1A). For PCR detection assay (Figure 1B), the results showed that Rhizoctonia solani (sample NO.1 in Table 1) could be observed with a clear amplification band, while other closely related species and negative controls CK had no amplification band (Figure 1B). These observations indicate a high degree of specificity in the well-established fluorescent RPA detection of Rhizoctonia solani. To further verify the sensitivity of the RPA assay, Genomic DNA from Rhizoctonia solani and its closely related species were serially 10-fold dilution of the initial concentration of 60 ng/ μL, seven template dilutions were designed, with water as a negative control, and the experimental results showed that the fluorescence signal intensity gradually decreased with decreasing template concentration (Figure 2A). RPA gel electrophoresis demonstrated clear amplification bands when the template concentration was greater than 60×10-1 ng/μL (Figure 2B). The detection limit of RPA real-time fluorescent assay was 6×10-2 ng/μL, and that of the conventional PCR was 6×10-1 ng/μL.
Rhizoctonia solani is an important plant pathogenic fungus that poses severe threats to various crops and plants, such as tomatoes, beans, potatoes, tobacco, strawberries, soybeans, and tulips. Traditional morphological identification methods and commonly used molecular detection methods such as PCR and qPCR for Rhizoctonia solani are cumbersome and time-consuming. In this study, we developed a rapid detection method for Rhizoctonia solani based on RPA real-time fluorescence detection technology. This method can accurately real- time monitor the progress and results of the amplification reaction and achieve results in only 40 minutes. Therefore, the method established in this study is suitable for rapid detection of diseases carried by imported Chinese herbal medicine seedlings at entry ports and other links, thereby effectively preventing and controlling the spread and diffusion of diseases and ensuring the safety of agricultural crops and plant resources. In the future, this technology can be further optimized and promoted, expanding its application in other plant disease monitoring fields and providing more reliable and efficient technical support for agricultural production and plant protection.
In summary, the rapid detection method for Rhizoctonia solani based on real-time fluorescent RPA established in this study is characterized by high sensitivity, high specificity, and a rapid operation procedure, making it highly practical for on-site plant disease monitoring. This method has wide application potential and great development prospects in the field of agricultural production and plant protection.
The authors declare no competing interests.
This work was supported by grants from Key Research and Development Project of Hainan Province, China (No. ZDYF2024XDNY159).
