Sri Harsha Kanuri*, Vraj Patel, Muhammad Hassan Naeem Goraya and Gagandeep Grewal
Received: October 17, 2025; Published: October 23, 2025
*Corresponding author: Sri Harsha Kanuri, Merit Health Wesley Health Center, 1501 Hardy Street, Hattiesburg, MS 39401, USA
DOI: 10.26717/BJSTR.2025.63.009922
Introduction: Pericardial Effusion (PE) is accumulation of fluid in serous outer membranes of the heart. It is
rarely reported as a postoperative complication following cardiac surgery. It can be early or late onset and is
provoked by variety of risk factors. Some reports suggest that increasing age and Coronary Artery Bypass Graft
(CABG) were negatively associated with development of PE. We present a case of pericardial effusion and pericarditis
following CABG in an elderly patient.
Case Presentation: We present a case where an 80-year-old male with a past medical history of Hypertension,
Atrial fibrillation, and CAD presented with progressive shortness of breath. His presentation followed coronary
artery bypass graft 3 weeks ago. Echocardiogram confirmed the presence of moderate to severe pericardial effusion
without pericardial tamponade. Due to severity of PE, cardiothoracic surgery was consulted to perform a
pericardial window to drain the fluid. A total of almost 300 cc fluid is drained. Following which patient recovered
with improvement of shortness of breath and was discharged.
Discussion: Pericardial effusion after cardiac surgery is an unusual post-operative complication that can occur
following cardiac surgery due to inadvertent damage to the pericardial membrane, or due to immune mediated
phenomenon. Resultantly, it causes inception of fluid accumulation, pericardial thickening and constrictive
pericarditis. It can present with features of cardiac tamponade based on the amount of fluid piling and other systemic
factors present. Echocardiographic visualization of pericardial fluid warrants immediate drainage through
creation of pericardial window, otherwise it can precipitate drastic clinical sequelae.
Conclusion: With this case report, we would like to emphasize the significance of this clinical phenomenon
that can occasionally arise following cardiac surgery. Prompt recognition and treatment can result in better
prognosis, other it can lead to intended clinical consequences and increased morbidity and mortality in elderly
population.
Abbreviations: PE: Pericardial Effusion; CABG: Coronary Artery Bypass Graft; COPD: Coronary Artery Disease; PAF: Paroxysmal Atrial Fibrillation; CAD: Coronary Artery Disease; ED: Emergency Department; CCU: Cardiac Care Unit; RV: Right Ventricle; ESR: Erythrocyte Sedimentation Rate; CRP- Hb: Oxidative Hemoglobin; Meth-Hb: Methoxy Hemoglobin; TTE: Transthoracic Echocardiography; TEE: Transesophageal Echocardiography; ADH: Anti-Diuretic Hormone
Pericardial Effusion (PE) after cardiothoracic surgery is not that common. However it has been reported occasionally in few case reports [1-4] In a prospective follow up study, where they analyzed 1300 patients for 2 years, PE and cardiac tamponade were present in 6.2% and 4.1% respectively [5,6]. Few research studies have reported the incidence to be as low as 1-2%. Pertinent risk factors and autoimmunity might be the triggering factors for materialization of this clinical entity. Here, we a present a rare case of pericardial effusion after cardiac surgery.
Patient is an 80-year-old male with a past medical history of hypertension, COPD (Chronic obstructive pulmonary disease), PAF (Paroxysmal Atrial Fibrillation), CAD (Coronary Artery Disease) presenting to the ED (Emergency Department) with shortness of breath. He is status post coronary artery bypass grafting x 4 done on 7/8/2025. He states he has been having shortness of breath for couple weeks, but in the last 2 days it got progressively worse. Since post CABG discharge 3 weeks ago but endorses progressive dyspnea with minimal exertion warranting ED presentation today. He states that shortness of breath is constant even at rest. SOB is worse when he sits up but improves when he lies flat. He is on 4 L oxygen at nursing home. On presentation to the ED, he was tachypneic and placed on 6 L oxygen via nasal cannula. His past medical history is significant for paroxysmal atrial fibrillation managed by Beta blockers, Diltiazem and Eliquis. Bedside echocardiogram was evident for pericardial effusion. Patient transferred to CCU (Cardiac Care Unit) for close observation, monitoring and further evaluation. Cardiologist was consulted.
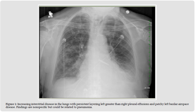
Echocardiography revealed Ejection Fraction (EF) is 60 to 65% with no diastolic RV (Right ventricle) collapse along with moderate to large pericardial effusion without tamponade. Since patient has elevated ESR (Erythrocyte Sedimentation Rate) and CRP (C-Reactive Protein) start colchicine 0.6 mg twice daily is started for his pericardial inflammation. Cardiothoracic surgery is consulted for consideration of pericardial window and it was performed on 08/03/2025. Over 200cc sero-sanguineous fluid from the pericardium. The fluid was collected and sent for the usual analysis and cultures. Pericardial drain was attached to Pleur-evac suction. Patient tolerated procedure well and was transported to CCU in stable condition. Broad spectrum antibiotics were started based awaiting the culture results. Overnight another 90cc of fluid was drained from the pericardial drain. Following the procedure his shortness of breath decreased considerably and he was discharged to his nursing facility (Figure 1).
We present a clinical case of pericardial effusion in the elderly patient that underwent CABG 3 weeks ago. Pericardial fluid accumulation occurring earlier within 1-5 days of surgery is regarded as early PE as compared to late PE occurring within 7th post-operative day- 6 months’ time-period [7]. Pertinently, last PE effusions tend to be loculated secondary to transpiration of pericardial adhesions and scarring, thus paving the way for regional fluid clustering. Unexpected pericardial manipulation and subsequent local inflammation with blood pooling might be triggering events for kick-starting the evolution of PE following cardiac surgery. The typical risk factors for encountering PE include younger age, healthy cardiac status, higher pre-operative hemoglobin and heart valve surgery [7]. Additionally body surface area ≥ 1.28 m2, preoperative liver dysfunction, New York Heart Association class III/IV, left ventricular end-diastolic diameter z score ≥ 0.55, hypertension, immunosuppression, pulmonary thromboembolism, renal failure, heart transplant, aortic aneurysm surgery, and anticoagulant use were also postulated [8,9]. Older age group (60-69 years) were less likely to develop PE following cardiac surgery as compared to younger people [7]. A plausible explanation for this age difference might be due to stronger immune response and higher amount of pro-inflammatory cytokines in the younger population as compared to older age population [7].
Furthermore, PE is more likely associated with heart valve surgery and less likely with CABG) [6,10]. The increase incidence of atrial fibrillation following cardiac surgery and subsequent usage of anticoagulants triggering intra-pericardial bleeding might provide a explanation for heightened risk of developing PE [11]. Moreover, early removal of pericardial drains (postoperative-day 1) to minimize the risk of infections also seem to elevate the propensity to develop PE [12]. Pericardial effusions are initially small, but they slowly progress to become massive within approximately 2 weeks [9]. Pericardial effusion can be totally asymptomatic, while other cases might present classic features of pericardial tamponade such as lower cardiac output, hypotension, tachycardia and signs of right heart failure [9]. Other presenting symptoms can include chest pain, dyspnea, malaise, edema abdominal pain, nausea and vomiting [9]. Persistant pericardial effusions were sometimes associated with pleural effusions [9]. Rarely, it can present with unusual clinical manifestations such as hyponatraemia, atrial fibrillation, chylothorax and mediastinitis with trachea-oesophageal fistula [1,3,13,14]. Few cases might present with hyponatraemia, which can be explained by excessive secretion of Anti- Diuretic Hormone (ADH) secondary low cardiac output, thus causing less renal secretion, water retention and pseudo-hyponatraemia [13] (Figure 2).
Alternatively, it can trigger atrial fibrillation by lipid peroxidation of the atrial cell membranes by free radicals, oxidative burst and Oxy- Hb-Meth-Hb from accumulated blood [14]. Pericardial effusion can present as chylothorax secondary to injury to lymphatic duct, thus spurring escape of lymphatic fluid into the pericardial cavity due to increased venous pressure following surgery [1]. Undrained pericardial effusion can foment irritation of the pericardial membranes, thus eliciting pericardial inflammation, adhesions and constrictive pericarditis [15]. Our patient presented with a combination of pericardial effusion and elevation of ESR (Erythrocyte Sedimentation Rate) & CRP (C-Reactive Protein), thus indicating the presence of pericardial inflammation. We managed the pericarditis in our patient with administration of Colchicine [16,17]. Mechanistically, it transpires due to autoimmune production of anti-cardiac [anti-sarcolemmal and antifibrillary] antibodies [17]. Transthoracic Echocardiography (TTE) may be sometimes inconclusive in diagnosis of PE [18]. However, in case of pericardial tamponade, classical ultrasonographic features including right atrial systolic collapse, right ventricular diastolic collapse, swinging heart and plethoric inferior vena cava might not present in most of the cases [18].
1. Accordingly, most sensitive test for diagnosis of PE is Transoesophageal Echocardiography (TEE) [18]. It will allow rapid diagnosis of PE, provides an opportunity to make a referral to cardiology and administer emergent interventions for managing this clinical condition [18]. Mild pericardial effusions tend to resolve on their own, while larger effusions might require interventions to ensure physiological cardiac output and most importantly preventing the inception of cardiac tamponade. Accordingly, moderate to severe pericardial effusions require fluid drainage either non-invasively or invasively, an undertaking that is tailored to each clinical scenario. Echocardiographic directed pericardiocentesis followed by placement of pig-tail catheter will facilitate the drainage of pericardial fluid [9]. In this regard, placement of catheter in place for longer duration of time will reduce the risk of early and late PE by 46% and 50% respectively [19]. Our patient developed a moderately severe collection of sero-sanguineous fluid (200 cc) in the pericardial space, thus necessitating the placement of pericardial window and chest-tube drain. Open cardiac surgery to drain the pericardial effusion is rarely performed. Complete closure of pericardial space with extracellular matrix following cardiac surgery is associated with reduction in the occurrence of pericardial effusion, pleural effusion and 30-day hospital readmission rate [20] (Video 1: Echocardiography Moderate to severe pericardial effusion. No Right ventricular or right atial collapse No Echocardiographic evidence of cardiac tamponade. Moderate to severe Tricuspic regurgitation. RVSP>50 mmhg).
By presenting this case of pericardial effusion with pericarditis following CABG surgery, we bring attention to this postoperative complication, which the clinicians should be cognizant. Patients with cardiac surgery and pertinent predisposing factors will have more proclivity for developing this complication. Earlier diagnosis and prompt surgical intervention paves the way for better clinical outcomes and better prognosis.
Ethical Approval and Consent to Participate
Not Applicable.
Consent for Publication
Consent taken.
Availability of Data and Materials
Not Applicable.
Competing Interests
Not Applicable.
Funding
Not Applicable.
Acknowledgements
Not applicable.
Conceptualization, S.H.K & VP; Methodology, S.H.K & S.A; Software, N.G.; Validation, N.A; Formal Analysis, N.A.; Investigation, S.H.K & VP.; Resources, N.A.; Data Curation, N.A.; Writing– Original Draft Preparation, S.H.K, M.H.G, & V.P.; Writing– Review & Editing, S.H.K., M.H.G & V.P.; Visualization, S.H.K.; Supervision, GG.; Project Administration, GG.
