Bogdan Podgoreanu1*, Carmen Monica Preda1,2, Cristina Dumitrescu3,4, Raluca Ioana Alecu1, Alexandra Ioana Marin1, Mircea Diculescu1,2, Mara Mardare5, Irina Bondoc5 and Octav Ginghina5,6
Received: February 25, 2025; Published: March 03, 2025
*Corresponding author: Bogdan Podgoreanu, resident doctor at the Gastroenterology Department, Clinic Fundeni Institute, București, Romania
DOI: 10.26717/BJSTR.2025.60.009506
A case of severe acute pancreatitis caused by hypercalcemia resulting from a parathyroid adenoma is reported. A 68year old woman presented with abdominal pain caused by acute pancreatitis and after a 3 week hospital stay which included a short visit in the ICU, hypercalcemia was ruled as the most probable cause resulting in the discovery and excision of a parathyroid adenoma.
Keywords: Acute Pancreatitis; Primary Hyperparathyroidism; Management
Acute pancreatitis is one of the leading causes of gastroenterology hospitalizations, and both its severity and clinical appearance can vary to the extremes. One of the rarer causes of acute pancreatitis is hypercalcemia, a common finding in patients with hyperparathyroidism. This association has appeared in research but definitive answers have not been found yet [1-4].
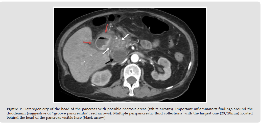
A 68 y.o. woman is admitted to the gastroenterology ward presenting with upper abdominal pain and shortness of breath. The patient is non-smoker, declares no alcohol consumption, personal history includes hypertension, cholecystectomy and multiple surgeries for recurrent kidney stones. She is tachycardic, BP 140/70mmHg, whole abdomen is tender and painful with the epigastric region being the most sensitive, slower bowel movements (1-3 days between stools), no stool abnormalities. No significant changes in ECG, blood tests show hyperamylasemia (2x ULN), hyperlipasemia (3x ULN), renal failure (BUN/Creatinine ratio > 20), hypercalcemia (11.9 mg/dL), hyperuricemia, hypokalemia, high alkaline phosphatase, normocytic, normochromic anemia. Abdominal ultrasound shows hyperechoic pancreas with a 30/20mm non-homogenous structure located near the head of the pancreas, no pancreatic ducts dilations, no intrahepatic or extrahepatic bile ducts dilation, no gallstones visible, no signs of hydronephrosis or kidney stones. Acute pancreatitis is the most probable diagnosis with a possible pancreatic tumor located next to the head of the pancreas. Treatment is started with a poor response, no clinical improvement over the next days with worsening laboratory findings (rising amylase and lipase levels). Abdominal CT scan is used for better evaluation, no pancreatic tumor is found, severe acute pancreatitis is present, most affected being the head of the pancreas, pseudocysts are present with partial acute splenic vein thrombosis.
No bile duct obstruction is found, ruling out this as a possible cause of acute pancreatitis, however slight dilation of intrahepatic bile ducts and main bile duct is present, duodenal inflammation being the most probable cause of this. Final description of CT scan suggests a chronic pancreatitis with a severe acute episode, judging by the more localized aspect of the inflammation (head and duodenum) with slight atrophy of the body and tail of the pancreas, 8 points on the Modified Computed Tomography Severity Index (mCTSI [5], (Figures 1 & 2)). All findings suggest a severe necrotising pancreatitis (in accordance with Revised Atlanta Criteria [6]) with acute necrotic collections present. Endocrinology recommends testing PTH levels which come back 20x upper limit of normal, which points to primary hyperparathyroidism being the cause of the hypercalcemia. Additional imaging is done. Thyroid ultrasound shows hypoechoic structure in the vicinity of the lower left parathyroid. Cervical CT scan shows nodular lesion located next to the lower left parathyroid gland (Figure 3). Whole body bone scintigraphy shows no bone lesions suggestive of tumors or metastases but shows hyperostosis of the frontal and parietal bones, secondary to primary hyperparathyroidism. A single dose of bisphosphonate (Zolendronic acid) is administered in an attempt to lower calcium levels and remove the precipitating factor causing severe acute pancreatitis. No change in calcium is observed over the following days but creatinine and BUN slowly increase.
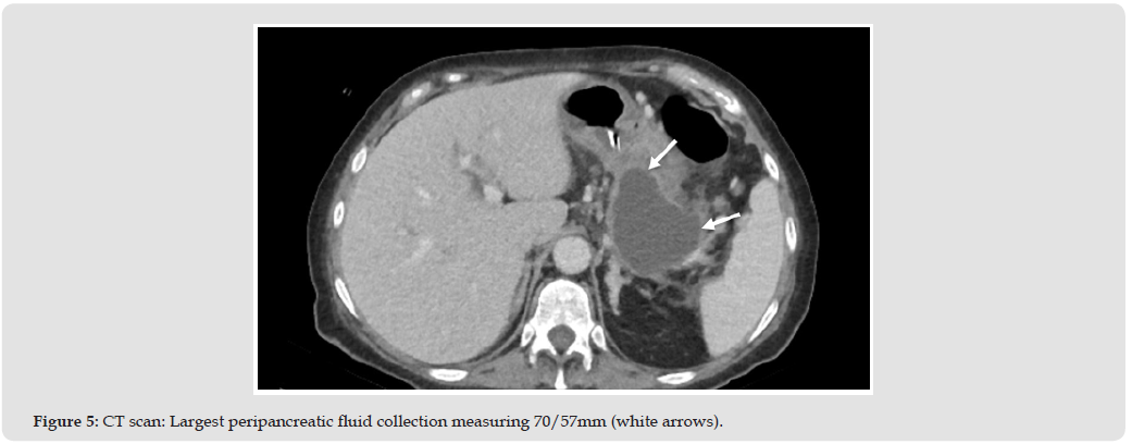
In the 12th day of hospitalization, the patient is transferred to the ICU as renal failure worsens also associating metabolic acidosis (meeting SIRS criteria for multiple organ dysfunction). During the stay in the ICU the patient receives hemodiafiltration, broad spectrum antibiotic is added as inflammatory blood markers are rising. Second CT scan is done 2 weeks after the first one at admission, showing worsening inflammation and necrosis of the pancreas, now present in the body and tail and enlarged fluid collections, however the duodenal inflammation is in regression (Figures 4 & 5). The patient is returned to the gastroenterology ward after 3 days, renal failure and acidosis resolved, abdominal pain improved significantly and normal calcium levels. The patient is transferred 10 days later to the surgery ward for further management. Surgery is done 7 days after the transfer, revealing parathyroid adenoma. Except for a short message 6 months after surgery stating patient is well, no further contact or reevaluation was made.
Acute pancreatitis has a great variety of causes, the most common ones being alcohol consumption and biliary obstruction. Hypercalcemia is a rare cause of acute pancreatitis, and, while it has not been directly linked yet, the association between hyperparathyroidism and acute pancreatitis is not coincidental. A possible cause could be the activation of trypsinogen to trypsin, mediated by the hypercalcemic state caused by an elevated parathyroid hormone. This causes autodigestion of the pancreas and also leads to forming calcium deposits in the ducts [1]. In the case of our patient, hypercalcemia was ruled as the most probable cause of acute pancreatitis, ruling out other more common causes using imaging and laboratory findings. An interesting aspect is the regression of clinical manifestations and laboratory changes after the ICU visit in which the patient received hemodiafiltration. Initially done because of worsening kidney failure and hyperkalemia, this also normalized calcium levels. This further establishes the link between hypercalcemia and acute pancreatitis, as surgery in primary hyperparathyroidism quickly causes the cessation of clinical manifestations and normalization of laboratory values [2]. An important aspect of every patient is the medical history, this patient stated to having multiple surgeries for recurrent kidney stones.
Together with high calcium levels during an acute pancreatitis episode, this indicates the chronic nature of the underlying disease causing hypercalcemia. Hyperparathyroidism is directly linked with a high incidence of kidney stones [7] and chronic kidney disease [8]. Our patient presented with acute kidney failure (indicated by a high BUN/Creatinine ratio), severe renal failure being a complication of severe acute pancreatitis and hypercalcemia, as also seen in another case report [3]. In this case, the administration of bisphosphonates worsened kidney failure, leading to metabolic acidosis and no improvement in serum calcium, the definitive turning point was the single hemodiafiltration session during the patient’s stay in the ICU. Suggestive of a chronic underlying disease is also the description from the first abdominal CT scan showing signs of chronic pancreatitis. Perhaps due to prolonged hypercalcemia, the patient experienced multiple small episodes of acute pancreatitis with minimal clinical manifestations. The patient did not come back for reevaluation thus no CT scan was made after the acute episode to properly rule out a chronic pancreatitis. The management of acute pancreatitis caused by primary hyperparathyroidism does not change from the traditional supportive care. Surgery must be done after the acute episode not only to definitively treat primary hyperparathyroidism but to prevent any further episode of acute pancreatitis [4].
Hypercalcemia is a rare cause of acute pancreatitis, however, this does not change the immediate management of the episode. Efforts must be made to find and treat the cause of hypercalcemia in these patients. Our case illustrates the frequent association between primary hyperparathyroidism and acute pancreatitis and acute renal failure similar to other cases described in the literature. Rapid admission to the intensive care unit for adequate fluid replacement and hemodiafiltration as well as rapid surgery for the excision of parathyroid adenoma is the correct attitude in this case.
Consent for Publication
Written informed consent was obtained from the patient for publication of this case report and any accompanying images.
Competing Interests
There are no authors’ conflicts of interest.
Funding
This research was not funded.
