Nishant*
Received: August 31, 2024; Published: September 05,2024
*Corresponding author: Nishant, Rajasthan university of health sciences, India
DOI: 10.26717/BJSTR.2024.58.009163
Ewing’s Sarcoma / Peripheral neuroectodermal tumors (PNET) occurs most often in bone and soft tissues of young adults and children. The intracranial presentation of this disease is very rare and is often misdiagnosed with other primaries of the brain. Till date, less than 20 such cases are reported in the literature. Here we are reporting an interesting case of 24 years old male who underwent cranial surgery being suspected glioblastoma but it came out to be a intracranial Ewing’s sarcoma.
Keywords: Brain Tumor; Intracranial Ewing’s Sarcoma; Extraosseous Ewing’s Sarcoma
Ewing sarcoma is the second most common tumor of bone affecting children, adolescents, and young adults mainly involving axial skeleton (Pelvis, vertebrae and ribs) [1]. It belongs to a family of round cell neuroectodermal tumors. They are locally aggressive, prone to progression and around 20-25% of patients present with metastasis at the time of presentation [2]. In 12% patients, tumor involves soft tissue as a primary site [3]. Extraosseous intracranial Ewing sarcoma is a very entity and less than 20 cases are reported in the literature till date. Extraosseous intracranial Ewing sarcoma can be easily misdiagnosed with other primaries of the brain and can be differentiated with the help of underlying genetics and immunochemistry studies [4]. We report a rare case of intracranial Ewing sarcoma which was encountered in our centre. The case presentation, image findings, operative approach and postoperative treatment plan is discussed with a brief of literature.
A 24 years old male was referred to our centre with history of headache for last 1 month and 3-4 episodes of vomiting and blurring of vision for 5-10 days. Detailed history from his family members revealed a change in behavior, including agitation, apathy, irritation from last 10-12 days. There was no history of loss of consciousness, seizures or any limb weakness. On examination, no neurological deficit was detected.The Magnetic Resonance Imaging(MRI) of the brain preoperatively showed a large cyst with mural nodule morphology in left frontal lobe measuring 7.5 x 4.8 x 6.3 cm, with intermediate signals on both T1W and T2W images with mild post contrast enhancement. A significant mass effect was noted with rightward shift of anterior midline structures by 7mm, with compression and distortion anterior aspects of both lateral ventricles. Mild subfalcine herniation was also present. Figures 1-3 shows the pre-operative MRI Brain findings. The patient underwent left frontal craniotomy and decompression of the lesion. However due to some complications patient required re-exploration with left temporoparietal craniotomy and extradural hemorrhage evacuation.
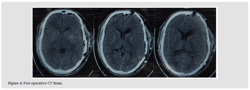
In postoperative care patient experienced sudden episode of anterior wall MI followed by 3 episodes of monomorphic VT. Episode was managed accordingly. The histopathological examination was suggestive of Glioblastoma( WHO grade 4) and molecular studies were advised to confirm the diagnosis. Review of blocks and Immunochemistry showed invasive tumor infiltrating adjacent brain parenchyma, with cells arranged as solid sheets and nests with few intervening delicate thin-walled capillary channels with brisk mitosis. Immunochemistry showed diffuse positivity for CD99, FLI-1 and NKX2.2. Tumor cells were negative for GFAP, Olig2, CD45, SALL4, NeuN, STAT6 and Chromogranin A. P53 displays wild-type expression and ATRX is retained. Ki67 proliferation index was approximately 95%. The overall features were compatible for the possibility of Ewing sarcoma. The findings of further metastatic workups, including CT scans of thorax and abdomen were negative. A postoperative CT scan of brain revealed left parietal extradural bleed of 23 x 90 mm and left frontal bleed of 4-6 mm. About 20-25 mm hemorrhagic contusions in left frontal cortex and smaller foci of pneumocephalus was present. Mass effect causing compression of left lateral ventricle was noted with a 12 mm midline shift to right (Figure 4).
Ewing sarcoma was first reported by Sir James Ewing(1866-1943). He noticed that pathology was different from lymphoma and not similar to any other malignancies known then [5]. Ewing sarcoma family of tumors is second most common primary tumor of bone in childhood, primarily affecting young adults/ adolescents. It is uncommon before 8 years of age and after 25 years. Most commonly affected areas are long bones(47%), pelvis(19%) and ribs(12%). In less than 12% of patients tumor involves soft tissue as a primary site [6]. Extraosseous Ewing sarcoma is a rare primary that affects both sex without any discrimination in second or third decade of life. It usually involves spine and in rare cases may arise intracranially, where they are misdiagnosed with other common primaries of the brain, because of histopathological similarities. Light microscopy shows a tumor of small, round blue cells that lack markers for lymphoma, neuroblastoma, or rhabdomyosarcoma. Cytogenetics has shown that ESFTs of the bone and soft tissue are the most undifferentiated members of a tumor family that shares a common neuroectodermal precursor cell, arrested at different stages of differentiation [7]. Cells are periodic acid-Schiff (PAS) positive, vimentin positive, and also often cytokeratin positive [8,9]. Approximately 95% of ESFTs have a translocation between the EWS gene on chromosome 22 and the FLIl gene on chromosome 11 (t[11;22][q24;q12]) or the ERG gene on chromosome 21 (t[21;22][q22;q12]).Locoregional pain is the most common presenting symptom in patients with ESFT, reported in about 90% of cases.
Pain can be intermittent and variable in intensity. Pain often does not completely disappear during the night [10]. As ESFT may arise in virtually any bone and in soft tissue, additional symptoms, depending on the affected site, may vary considerably. Patients with chest wall or pelvic primaries may experience significant complaints only at a very late stage. Neurologic symptoms or signs occur in 15% of children, either as spinal cord compression or as peripheral nerve compression. Treatment options for CNS Extraosseous Ewing sarcoma are similar to Ewing sarcoma of other sites which includes multidisciplinary approach comprising of Chemotherapy, Radiotherapy and Surgery. Chemotherapy is the mainstay treatment modality for Ewing sarcoma. multi agent chemotherapy regimen including doxorubicin, dactinomycin, cyclophosphamide, ifosfamide and etoposide have been shown to be effective in Ewing sarcoma in many trials [11,12]. Initial treatment should be started as Neoadjuvant chemotherapy with VACIE regimen (Vincristine, Doxorubicin\actinomycin-d, cyclophosphamide, ifosfamide and etoposide) for minimum 9 weeks, followed by definitive local therapy with radiation therapy or surgery, followed by adjuvant chemotherapy upto a total of 36-52 weeks. CNS Extraosseous Ewing sarcoma is a rare diagnosis, so there is not any established protocols for the treatment, and also no clear prognosis is known.
