T Patrick Jensen*, Jacob Kellner and Seif R Hanbali
Received: August 12, 2024; Published: August 27, 2024
*Corresponding author: T Patrick Jensen, OMS-III | Class of 2025, LMU-DCOM | Knoxville, Tennessee, USA
DOI: 10.26717/BJSTR.2024.58.009150
Abbreviations: TSH: Thyroid Stimulating Hormone; FNA: Fine Needle Aspiration; PTH: Parathyroid Hormone; MTC: Medullary Thyroid Carcinoma; FMTC: Familial MTC; RET: Rearranged During Transfection; MEN 2: Multiple Endocrine Neoplasia Type 2
A 33-year-old white female with a history of an unspecified seizure disorder, chronically managed on Lamotrigine, presents to the emergency department with worsening seizure activity and headaches with double vision, as well as sudden losses of consciousness. Significant vital signs upon admission indicated mild tachycardia, hypertension, as well as an elevated thyroid stimulating hormone (TSH) level. The patient was a poor historian and claimed to have had memory deficits for the past few years, she lacks medical decision-making capacity. She was uncertain of the nature of her seizure disorder and appeared confused when attempts were made to investigate further. She answers positive for symptoms of psychosis for the past few years stating that she had been suffering with auditory and visual hallucinations for several years that were continuous accompanied by worsening mood states. The patient has a comorbid history of major depressive disorder with psychotic features that was not managed by medication and has received no outpatient mental health services. Psychiatry was consulted and the patient’s psychosis and depression were stabilized on Abilify and Zoloft. During her time in the emergency department seizures were witnessed, occurring twice and remitting once after administration of Ativan. Upon further questioning of the family, they claim the seizures were stress induced. She had been seeing an outpatient neurologist for many years in order to manage the seizures. Neurology was consulted, and after an EEG was performed, no epileptic activity was recorded.
This correlated with her outpatient neurologist suggesting a possible functional neurological disorder. Concurrent medical history of the patient is remarkable for nausea or vomiting that has been worsening over the previous year, with the patient reporting that she felt “shaky and lightheaded.” These episodes were accompanied with headaches that fluctuated lasting for 30 minutes at a time. The patient’s history was also significant for unintentional weight loss over the previous year. The nature of the symptomatology prompted a CT scan of the abdomen and pelvis with intravenous contrast that revealed bilateral adrenal masses with cystic and solid components that were 9.3 cm, and 9.6 cm on the left and right respectively. These findings in light of the patient's recent and chronic history raised suspicion for pheochromocytoma which was confirmed by elevated fractionated metanephrines. Congenital abnormalities such as multiple endocrine neoplasia (MEN), tumor sclerosis, and Von Hippel-Lindau were considered as the patient’s differential diagnoses. Beta blockers were advised against due to the potentiation of a hypertensive crisis, and the patient was started on a calcium channel blocker and alpha blocker to manage hypertension secondary to a potential endocrine disorder. The patient’s TSH level indicated a physical examination of the thyroid gland which revealed bilateral thyroid nodules. A thyroid ultrasound was ordered showing bilateral TIRADS level 5 nodules with high suspicion for malignancy.
The right nodule measured 2.4 cm x 1.4 cm x 1.8 cm, and the left nodule measured 0.4 cm x 0.4 cm, and it was recommended that the dominant right sided nodule be considered for a fine needle aspiration (FNA) by radiology. Upon completion of FNA, cytological diagnosis raised suspicion for epithelial malignancy that could represent a follicular or Hurthle cell neoplasm by cytological morphology, but might also represent a medullary carcinoma, which would be more likely given the radiographic presentation and markedly elevated calcitonin level. Radiology concluded that the specimen was suspicious for malignancy according to Bethesda category V. Her clinical picture correlated best with MEN type 2A, as this autosomal condition is characterized by a clinical triad of pheochromocytoma, medullary carcinoma of the thyroid, and hyperparathyroidism concurrent with adenomas or hyperplasia. Although the patient had little symptomology or physical exam findings to indicate elevated parathyroid hormone (PTH), calcium and intact PTH were ordered to confirm. The patient’s ionized calcium was elevated, however the patient was discharged before an intact PTH was able to be determined. The patient’s MRI was also suggestive of a demyelinating disorder, likely early multiple sclerosis, however this appears to be a separate issue to the multiple endocrine neoplasia and it was suggested that she follow up with outpatient neurology. The patient was advised for a thyroidectomy and adrenalectomy as well as continuous monitoring in order to manage the cardiac implications of a pheochromocytoma. The patient was recommended for transfer to another facility for endocrine, oncology, and surgical consultation services.
Vitals and Measurements
T: 36.8 °C HR: 116 RR: 14 BP: 172/124 SpO2: 99%
WT: 58.967 kg
• General: Cooperative, No acute distress, Appears weak
• Orientation: Yes: Oriented to person, Oriented to place, Oriented to time (partially to time), Awake, Other (Mild Postictal confusion)
• Mood: Normal affect, Normal mood
• Eyes: Yes: Pupils equal, round, reactive to light and accommodation, Extraocular movement intact
• Mouth & Throat: Yes: Other (oral mucosa dry)
• Neck: Yes: Supple, Good range of motion
• Lungs: Yes: Clear to auscultation bilaterally, non-labored
• Breath Sounds: Clear: Throughout all lobes
• Cardiovascular: Yes: Tachycardic, no MGRs, no lower extremity edema
• Abdomen: Yes: Soft, non-tender, non-distended, no hepatosplenomegaly
• Bowel Sounds: Yes: Active
• Musculoskeletal: Yes: Good ROM
• Skin: Yes: Warm, dry to touch
• Neurological: Cranial nerves II-XII intact, Other (Awake, oriented to person place and partly to time, speech clear, slow response, no any gross motor or sensory deficits on examination)
• Mental Status Exam:
• Appearance: Mildly Disheveled
• Behavior: In mild distress
• Mood: Anxious and Depressed
• Affect: Constricted
• Thought Process: Evidence of loose associations
• Thought Content: Initially with auditory and visual hallucinations, but negative for suicidal and homicidal ideations.
• Insight: Impaired
• Judgment: Fair
• Cognition: no formal cognitive tests performed, initially impaired by psychosis.
• Language: Intact
Home Medications
Lamotrigine [Lamotrigine ER] 400 mg PO DAILY
Norethindrone AC-Eth Estradiol [Hailey 21 1.5 mg-30 Mcg Tab] 1 each PO DAILY
Sumatriptan Succinate [Imitrex] 50 mg PO BID PRN
Topiramate [Topamax] 50 mg PO DAILY
Substance Use History
No history of alcohol, substance use, use of tobacco products in the last 30 days, or use of electronic cigarette/vaping devices.
Labs Upon Admission
(Tables 1-4).
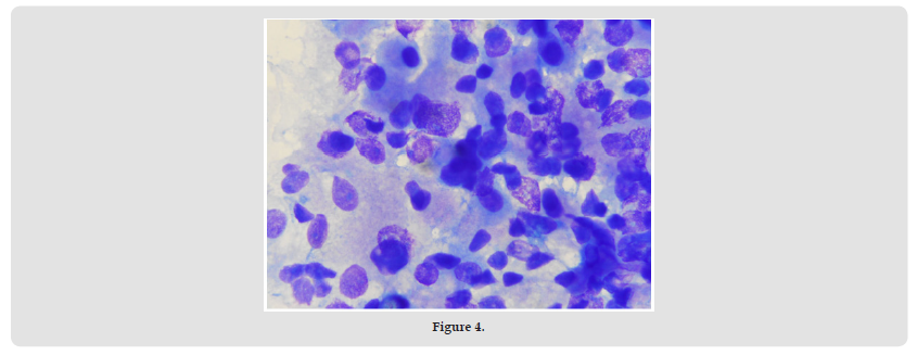
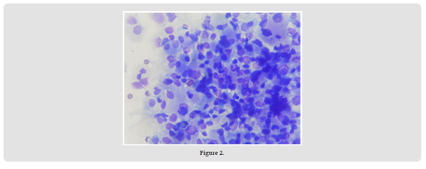
Thyroid Biopsy Photomicrographs
(Figures 1-4).
Thyroid Biopsy Pathology Report
Thyroid pathology
Final Cytologic Diagnosis:
• “Thyroid”, right, fine-needle aspiration, spun preparations:
• Suspicious for epithelial malignancy (see comment)
• Limited acellular material resembling colloid
Comment: The Diff-Quik stained cytospin preparation contains rare cohesive and almost nested clusters of atypical epithelioid cells with eccentric nuclei containing smudged chromatin, nuclear irregularity, rare intranuclear cytoplasmic inclusions, and moderate amounts of granular and sometimes vacuolated cytoplasm. There is a focal associated with amphophilic acellular material resembling colloids. The Papanicolaou stained cytospin preparation contains only a very rare epithelioid cell cluster containing large eccentric nuclei with delicate chromatin and small nucleoli and including moderate amounts of delicate cytoplasm. There is no associated necrosis, calcifications, or obvious papillary architecture. No normal thyroid follicles are present. No definitive amyloid is present. There is no material available for a cell block or further testing. The cytologic findings are suspicious for but not diagnostic of an epithelial malignancy that could represent a follicular or Hurthle cell neoplasm by cytologic morphology but might also represent medullary carcinoma, which would be more likely given the radiographic presentation and markedly elevated calcitonin level. This specimen is best considered suspicious for malignancy, which is Bethesda category V.
Multiple endocrine neoplasia type 2 (MEN 2) is a cancer resulting from a germline variation on the Rearranged during Transfection (RET) proto-oncogene that is inherited via autosomal dominant means [1]. MEN 2 is divided into two distinct clinical syndromes: MEN 2A and MEN 2B. MEN 2A is further subdivided into four phenotypes. The first type of MEN 2A is associated with medullary thyroid carcinoma (MTC), pheochromocytoma and primary hyperparathyroidism. Our case was the classic MEN 2A with the triad of endocrine disturbances noted above. The second subtype of MEN 2A is associated with cutaneous lichen amyloidosis. The third MEN 2A subtype is associated with Hirschsprung’s disease and fourth subtype is associated with familial MTC (FMTC) [1]. MEN 2B on the other hand is associated with MTC, pheochromocytoma, ganglioneuromatosis, musculoskeletal and ophthalmologic abnormalities [2]. The prevalence of MEN 2A is 13 to 24 cases per million people and the incidence for MEN 2A ranges between 8 and 28 per million live births per year [1]. Thus, it is a relatively rare genetic disorder conveying a complicated syndrome of neoplastic phenomena. The RET proto-oncogene is located on chromosome 10 (10q11.2) [3]. RET encodes a receptor of the tyrosine kinase family that plays a pivotal role in embryonic development. It is, in part, responsible for contributing to the development of the central and peripheral nervous systems, most notably the enteric nervous system.
RET is mostly expressed in endocrine tissues, for example, the C-cells of the thyroid gland, adrenal medulla and neurons [1]. In 95 % of cases, classical MEN 2A is caused by RET germline mutations or variants in codons 609, 611, 618, 620 or 634 [4]. MTC develops in almost all MEN 2A cases and is typically the first of the neoplasms to be discovered [1]. Pheochromocytoma is prevalent in approximately 17–42 % of MEN 2A cases. It typically is identified with or after MTC in 64–93 % of cases. The mean age at first diagnosis is between 34 and 42 years of age [1]. Our patient was in her early 30s when first diagnosed in the hospital setting. Primary hyperparathyroidism (PHPT) has previously been reported with a prevalence of 19–35 %. Primary hyperparathyroidism is rarely the first manifestation of MEN 2A, typically identified between 35 and 46 years of age. Primary hyperparathyroidism is usually mild and the majority of cases (56–88 %) are asymptomatic at diagnosis [1]. Patients with MEN2A and PHPT are frequently associated with 634-RET mutation. Consequently, these patients also are characterized by an earlier onset compared with sporadic PHPT and by a multiglandular disease involvement [5]. On histopathological examination approximately half are diagnosed as hyperplasia and the other half as adenomas [1]. Thyroid biopsy findings support the diagnosis of medullary thyroid carcinoma of our patient. Jayasinghe and others provided the need to confirm with an elevated calcitonin of >100 ng/L. Our patient had a calcitonin level of 954.
The amount of elevation in calcitonin has been shown to provide insight into the relative volume of the tumor, also indicating the likelihood of metastasis. An association has been made between calcitonin levels of greater than 500 ng/L and nodal metastasis, predicting 5% likelihood of distant metastasis with a 50% likelihood of cervical lymph node metastasis. Along with calcitonin, CEA can be used as a tumor marker of MTC. Though according to Jayasinge and others, CEA has both less sensitivity and specificity compared to calcitonin [6]. Preoperative treatment for pheochromocytoma is imperative in order to prevent a catecholamine release that can result in myocardial infarctions, hypertensive crises, pulmonary edema, and systemic failure [7]. Pharmaceuticals of choice range between a non-selective alpha blocker or selective alpha blocker phenoxybenzamine or doxazosin respectively. During previous treatments of pheochromocytoma both medications have shown to result in an overall reduction in mortality [7]. Treatment for MEN2A manifesting as bilateral lobe MTC is generally considered curative only via total thyroidectomy. If MTC has become metastatic, the treatment modalities include using local External Beam Radiation Therapy (EBRT) to the neck and mediastinal regions. However, if metastasis has fully progressed, palliative care and focal treatment to subside the symptoms remain as the standard of care. Other modalities include systemic treatment using multikinase and selective kinase inhibitors [1]. Patients with symptomatic PHPT, which includes severe hypercalcemia, parathyroid surgery is crucial [5].
Our patient likely had MTC and PHPT, making her a prime candidate for surgical intervention, assuming no other limiting factors were present. She was thus transferred to a hospital with a higher level of care and the needed endocrine and surgical specialities for effective treatment of this rare but important condition. This case report emphasizes the need for multi-specialty care for a patient who is experiencing both medical and psychiatric acuity. Indeed, her psychiatry acuity was likely a conglomeration of psychosis/depression secondary to general medical conditions and primary mood disturbances. The consult and liaison psychiatrist can assist the medical team by identifying organic causes of psychosis and mood disturbances, in this case hypercalcemia and pheochromocytoma respectively. Knowing the associated endocrine complications of MEN can equip the psychiatrist to ensure the correlating endocrinopathies have been investigated and symptomatically support the treatment of the psychiatric sequelae. In this case, the patient was stabilized on Zoloft and Abilify as she awaited curative treatment.
