Mohammad Madadi Emamchai1* and Saba Rafraf2
Received: July 10, 2024; Published: July 17, 2024
*Corresponding author: Mohammad Madadi Emamchai, Department of General Surgery, Faculty of Medicine, Tabriz University of Medical Sciences, Tabriz, Iran
DOI: 10.26717/BJSTR.2024.57.009036
Introduction: Dieulafoy lesions are enlarged atypical submucosal vessels that erode the super imposing epithelium in the absence of a primary ulcer. They occur predominantly in the gastric mucosa; however, cases have been seen throughout the gastrointestinal (GI) tract, and rarely, the jejunum. These lesions can cause massive GI hemorrhage leading to shock.
Case Presentation: In this study, we present a 28 years old male with jejunal Dieulafoy’s lesion. The patient was admitted to the hospital due to hematochezia and hypotension. No active bleeding was identified on endoscopy, colonoscopy, and the vital signs is unstable. A massive transfusion protocol was initiated for hemorrhagic shock and patient was prepared for the operating room. An intraoperative enteroscopy, using flexible endoscopy, revealed a jejunal Dieulafoy’s lesion with active pulsatile bleeding. The patient was successfully treated by enterotomy and suture-ligation the lesion.
Discussion: Dieulafoy lesions are rare with an initial presentation of upper or lower GI bleeding, they are predominately found in the stomach or duodenum. So usually treated with endoscopic intervention. When no clear source is identified by endoscopy, further diagnostic testing may be of value. Various imaging modalities exist; however, CT angiography or radionuclide scanning are particularly sensitive and can be beneficial in localizing the lesion. According to Diagnostic and management algorithm for obscure gastrointestinal bleeding, hemodynamically unstable patients with major bleeding must prepare for operating room and localizing source of bleeding is done by intraoperative entroscopy or intestine serial clamping technique. This case is unique not only regarding the unusual location of the lesion but also regarding the multidisciplinary approach necessitated for the management of this catastrophic hemorrhage that avoided surgical resection.
Conclusions: Intraoperative endoscopy is a relatively efficient, fast and safe modality for localizing source of obscure gastrointestinal bleeding, and is essential for directing surgery in hemodynamically unstable patients and Suture ligation of dieulafoy’s lesion must be considered as a fast and reliable alternative approach in hemodynamically unstable patients.
Abbreviations: DL: Dieulafoy Lesion; NSAID: Non-Steroidal Anti-Inflammatory Drug; EGD: Esophagogastroduodenoscopy; FFP: Fresh Frozen Plasma; GI: Gastrointestinal
Dieulafoy lesion (DL), which was first described by Gallard in 1884 and named after Dieu-lafoy in 1898, is one of the rare etiologies (1.3%) of massive gastrointestinal (GI) bleeding associated with a high mortality rate [1]. These lesions have since been reported in other areas of the gastrointestinal tract; however, they remain particularly rare in the small bowel, with only 1% of case reports documenting lesions in the jejunum. A Dieulafoy’s lesion is a dilated abnormal submucosal artery that erodes the overlying epithelium in the absence of a primary ulcer. These lesions do not follow the typical pattern of mucosal capillaries thereby leading to much larger caliber vessels making them prone to injury and bleeding. The most common location reported is the stomach, along the lesser curvature, although literature review has also confirmed lesions in the esophagus, duodenum, and rarely, the jejunum. The etiology remains unknown however exacerbating factors leading to gastrointestinal bleeding have been hypothesized which include non-steroidal anti-inflammatory drug (NSAID) usage and alcohol abuse [2]. The initial diagnostic modality is by endoscopic identification via esophagogastroduodenoscopy (EGD).
They can usually be identified in the acute setting as an actively bleedinbleeding, pulsatile lesion without visible ulceration. In the absence of active bleeding, a Dieulafoy’s lesion may appear as a raised nipple or visible vessel without an associated ulcer; however, the aberrant vessel may not be visible to the naked eye unless there is active bleeding from the site [3]. We report a 28-years-old man with a mid-jejunal Dieulafoy’s lesion who presented with massive gastrointestinal hemorrhage and was managed with intraoperative surgically assisted enteroscopy and suture-ligation of lesion. To our knowledge, this was the first report of mid-jejunal Dieulafoy’s lesion that managed by suture- ligation without any resection.
An 82 -year-old male was admitted to the hospital with hematochezia and hypotension. He suffered from preumblical pain, vomiting, and a large amount of bloody diarrhea from 8 hours before admission. Neither peptic ulcer, nor bleeding disorders were found in the patient or in his family’s medical history but he was alcohol abuser. Upon arrival in the emergency department, the patient was anemic and ill-looking with complaints of dizziness and dyspnea. His temperature was 36.7°C, his pulse rate 135/minutes, his respiratory rate 30/minutes, and his blood pressure was 88/38 mm-Hg. On the physical examination, the patient had pale conjunctiva, bounding pulse, and a slightly distended abdomen with mild tenderness. The liver and spleen were not nlarged. Patient was diagnosed with impending hemorrhagic shock due to massive lower GI bleeding, and fluid resuscitation with massive transfusion protocol was initiated for him. Hemoglobin, hematocrit, and platelet were 8.5 gm/dL, 24.9% and 200,000/mm, respectively.
Serum transaminases, bilirubin, blood urea nitrogen, creatinine, prothrombin time, partial thromboplastin time, bleeding time, and electrolytes were all normal. The rectal bleeding continued over the next hours. Follow-up values of hemoglobin, hematocrit, and platelet dropped to (5.8 gm/dL, 17 %, and 171,000/mm, respectively) after transfusion of two units of packed red blood cells, two units of platelets, and two units of fresh frozen plasma (FFP). Endoscopy and colonoscopy were performed. The endoscopy showed only anemic gastric and duodenal mucosa. The colonoscopy revealed large amount fresh melenic stools covering the mucosa and lumen of colon but no active bleeding was showed. Patient received additional four units of packed red blood cells, platelets and FFP during the endoscopic examinations. Patient’s hemoglobin level dropped to 4.5 mg/dL. Because his bleeding persisted and he was unstable, an exploratory laparotomy was arranged, and gastroenterology was consulted for intraoperative endoscopic assistance. During surgery, entire colon and small bowel was full of blood and mildly distended as were to 60 cm of Triet’z ligament, with a sharp proximal cut off point. a small incision of proximal jejunum was performed to explore the source of bleeding by flexible endoscopy.
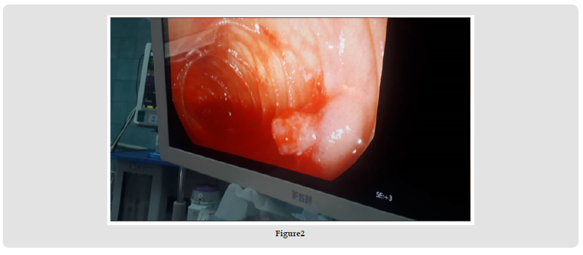
After aggressive endoscopic irrigation of fresh blood and blood clots with normal saline fluid, we found a mucosal protruding vascular lesion (approximately 0/5 cm in diameter), with pulsatile spurting bleeding at distal jejunum approximately 160cm from the Triet’z ligament. A single external suture as a mark was placed over the lesion by the surgical team and flexible endoscope was carefully removed. Then a small incision enterotomy was performed on jejunum just near the mark and suture-ligation of lesion with complete hemostasis was done. for both incision Entroraphy was performed. Patient received two units of packed red blood cells, platelets and FPP during operation. Patient’s vital signs became stabilized after operation; his hemoglobin and platelet values rose to 11.1 mg/dL and 172,000/mm after transfusion of four units of packed red blood cells and four units of FFP. Patient started a fluid diet four days after surgery and discharged six days after the operation. There was no recurrence of bleeding in the follow-up period.
DLs are named after Georges Dieulafoy, a French surgeon, who initially called the lesions “exulceratio simplex” in the belief that these lesions were an early presentation of an ulcer. Most DLs are found in the proximal lesser curvature of the stomach, followed by the duodenum (50% of those in the duodenal bulb), but they can be found throughout the gastrointestinal tract. DLs are typically found in men with advance aged, patients with cardiovascular and renal disease, diabetics, and alcoholics [4-6]. Our case is atypical in that we had a young, healthy patient with a distal jejunal lesion. DLs present in a varied manner, including melena with or without hematemesis, hematochezia, or massive gastrointestinal hemorrhage such as in our patient. The diagnosis usually made by endoscopy but can be challenging. Repeated endoscopies are often needed when bleeding is small and intermittent [2]. There are widely accepted endoscopic criteria in diagnosing DL:
(i) Active bleeding from a small mucosal defect,
(ii) A protruding vessel with or without hemorrhage through a small mucosal defect, and
(iii) A dense adherent clot with a thin connection to a small mucosal defect or normal mucosa. all of which are surrounded by normal mucosa. These lesions are defined as histologically normal submucosal arteries that do not progressively taper as they traverse through the mucosa [2]. Owing to the bleeding pattern of a DL, endoscopy sometimes fails to identify the lesion [7]. If endoscopy fails, CTA, conventional angiography, or technetium-99-tagged red blood cells can be useful to make the diagnosis. In our due to unstable hemodynamic no of above studies was done and patient was transferred to operating room after non-diagnostic endoscopic study. Treatment of DLs depends on the presentation, location, and available expertise.
Endoscopic management is the first line of therapeutic intervention, and to reach distal locations, either single or double balloon-assisted enteroscopy can be instrumental. Regional injection with epinephrine (dilution, 1:10 000) is a popular, inexpensive treatment modality, but it carries a high rate of rebleeding if used alone and hence is always coupled with another intervention [8-10]. Injecting sclerosants like ethanol or polidocanol has been successfully used to achieve hemostasis in a few previous case reports [9,11]. Thermal coagulation using contact (bipolar or monopolar probes) or noncontact (argon plasma coagulation) techniques or mechanical interventions include placing hemoclips, over-the-scope clips, or banding can also be performed [12-14]. However, in our case, these options was not done because the patient was clinically unstable. According to Diagnostic and management algorithm for obscure gastrointestinal bleeding, hemodynamically unstable patients with major bleeding must prepare for operating room and localizing source of bleeding is done by intraoperative entroscopy or intestine serial clamping technique [15]. The endoscopic-surgical combined cases report in the literature described DLs that are identified through endoscopy and then subsequently resected [16] (Figures 1 & 2).
We adapted a multidisciplinary approach by intraoperative enteroscopy in coordination with the surgical team who suture-ligate the bleeding lesion from the intraluminal aspect by minimal enterotomy near side the lesion. This case is unique not only regarding the unusual location of the lesion but also regarding the multidisciplinary approach necessitated for the management of this catastrophic hemorrhage that avoided surgical resection. According to our knowledge, this the first report of mid-jejunal Dieulafoy’s lesion that managed by suture- ligation without any resection.
Intraoperative endoscopy is a relatively efficient, fast and safe modality for localizing source of obscure gastrointestinal bleeding, and is essential for directing surgery in hemodynamically unstable patients and Suture ligation of dieulafoy’s lesion must be considered as a fast and reliable alternative approach in hemodynamically unstable patients.
The authors have no conflicts of interest to declare.
Written informed consent was obtained from the patient for publication of this case report and accompanying images. Also performed therapeutic procedure approved by the Iranian medical ethics committee
