Shigeru Abe1, Shiomi Ushida1, Satoshi Ichigo1, Hiroshi Takagi1, Keisuke Kawashima2, Takuya Mikamo2, Tsutomu Marui3, Toshio Kasugai3 and Atsushi Imai1*
Received: June 20, 2024; Published: July 01, 2024
*Corresponding author: Atsushi Imai, Department of Obstetrics and Gynecology, Matsunami General Hospital, 185-1 Dendai, Kasamatsu, Gifu 501-6062, Japan
DOI: 10.26717/BJSTR.2024.57.008982
Smooth muscle tumors of uncertain malignant potential (STUMP) represent mesenchymal uterine neoplasms exhibiting a malignant propensity intermediate between benign leiomyomas and leiomyosarcomas. The metastatic behavior of these neoplasms remains poorly elucidated, with scant literature addressing distant dissemination, particularly to the pulmonary domain. A 56-year-old female presented with pulmonary metastases from STUMP occurring 5 years post-hysterectomy. Routine medical surveillance revealed a solid lesion within the left upper lobe accompanied by multiple pulmonary nodules on chest computed tomography. Subsequent video-assisted thoracoscopic right upper lobectomy successfully excised the mass, histologically confirming its identity as a metastatic STUMP lesion. This investigation contributes valuable insights into the clinical management of pulmonary metastases originating from STUMP.
Abbreviations: Stump: Smooth Muscle Tumors of Uncertain Malignant Potential; CT: Computed Tomography
Smooth muscle tumors of uncertain malignant potential (STUMP) represent mesenchymal uterine neoplasms displaying an indeterminate malignant propensity, positioned between benign leiomyomas and leiomyosarcomas [1]. While typically presenting a clinically benign course, instances of recurrence can manifest years post-hysterectomy [2]. The clinical and pathologic characterization of these tumors remains inadequately detailed, with limited literature addressing their metastatic potential, particularly to the pulmonary domain [3-6]. This report contributes an additional case detailing multiple pulmonary nodules attributed to STUMP.
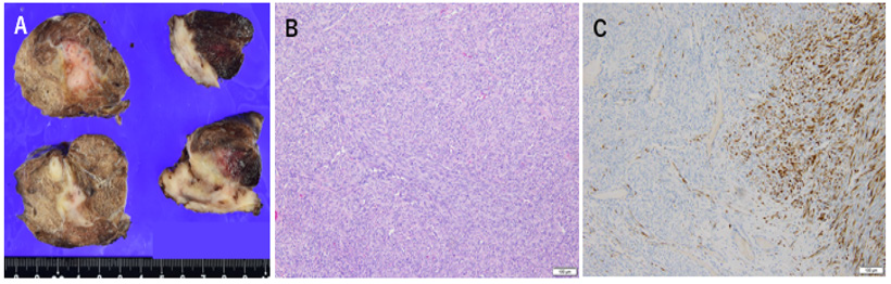
The patient, a 56-year-old nulligravida female, was diagnosed with a primary uterine smooth muscle tumor of uncertain malignant potential (STUMP) following clinical and immunohistochemical assessments subsequent to total abdominal hysterectomy and bilateral salpingo-oophorectomy for symptomatic uterine myomatosis five years earlier. No adjuvant therapy was administered, and diligent follow- up ensued. Routine medical surveillance identified a solid lesion in the left upper lobe with multiple pulmonary nodules (up to 7mm in diameter) on chest computed tomography (CT) during a routine check-up (Figure 1). Video-assisted thoracoscopy facilitated multiple lung biopsies, with histopathological and immunohistochemical analyses indicating metastatic smooth muscle cell neoplasia of uterine origin. Subsequent video-assisted thoracoscopic right upper lobectomy revealed a whitish, partially necrotic tumor with tense-elastic consistency (Figure 2), displaying low malignant features with a mitotic index of 5 mitoses x 10 high-power fields and a Ki67 labeling index of approximately 60%. Immunohistochemistry revealed positivity for smooth muscle actin, desmin, vimentin, and p16, with negativity for CD34, S100, STAT6, and p53. Oncological consultation recommended strict surveillance without adjuvant therapy.
Figure 1: Chest computed tomography was consistent with predominant solid lesion in left upper lobe and multiple pulmonary nodules.

Figure 2: The tumor within left upper lobe was solitary and partially necrotic.
A. The tumor consisted of spindle cell proliferation with mild mitotic activity and fibrous stroma.
B. Hematoxylin-eosin x 200). The tumor cells expressed p16.
C. Immunohistochemistry x 200).

Pulmonary metastasis from STUMP is exceedingly rare, with only a handful of cases documented in recent literature [3-6]. We present the uncommon case of a 56-year-old woman experiencing STUMP metastasis 5 years post-hysterectomy. Ciarrocchi et al. [3] reported a case with a massive mediastinal mass 14 years post-hysterectomy. In other cases, pulmonary metastases occurred 3-4 years following hysterectomy. Given the ambiguous nature of these tumors, thorough histopathological and immunohistochemical evaluations are imperative for diagnosis. Benign metastasizing leiomyomas, characterized by extrauterine metastasis of histologically benign smooth muscle neoplasms derived from uterine leiomyomas, further underscore the complexity of uterine mesenchymal tumors [2,7]. Hematogenous dissemination primarily drives metastasis in uterine leiomyosarcomas, with lung involvement in over half of cases [8]. Given the unpredictable clinical behavior and significant malignant potential of certain STUMP cases, vigilant, long-term monitoring is warranted. Due to their unpredictable nature, treatment strategies remain uncertain, with surgical resection being a plausible approach [1-3].
Hormonal sensitivity and postmenopausal benign growth behavior advocate for a watch-and-wait approach or antiestrogen therapy following histological confirmation, with a minimum follow-up duration of ten years [2,7]. Lung metastasectomy presents a viable option in select patients with one or two pulmonary lesions. We describe the rare case of a 56-year-old woman with pulmonary metastasis from STUMP 5 years after a hysterectomy. Although the patient is still under strict follow-up, lack of clinicopathologic details and follow-up data of these tumors prompted us to report the adequate metastasectomy. This study may provide new insights into management procedure of pulmonary metastasis from STUMP.
The authors declare that they have no conflict of interest.
