Anwarul Islam*
Received: April 23, 2024; Published: May 03, 2024
*Corresponding author: Anwarul Islam, Attending Physician Internal Medicine-Hematology/Oncology, Buffalo General Hospital, Buffalo, New York 14203, USA
DOI: 10.26717/BJSTR.2024.56.008853
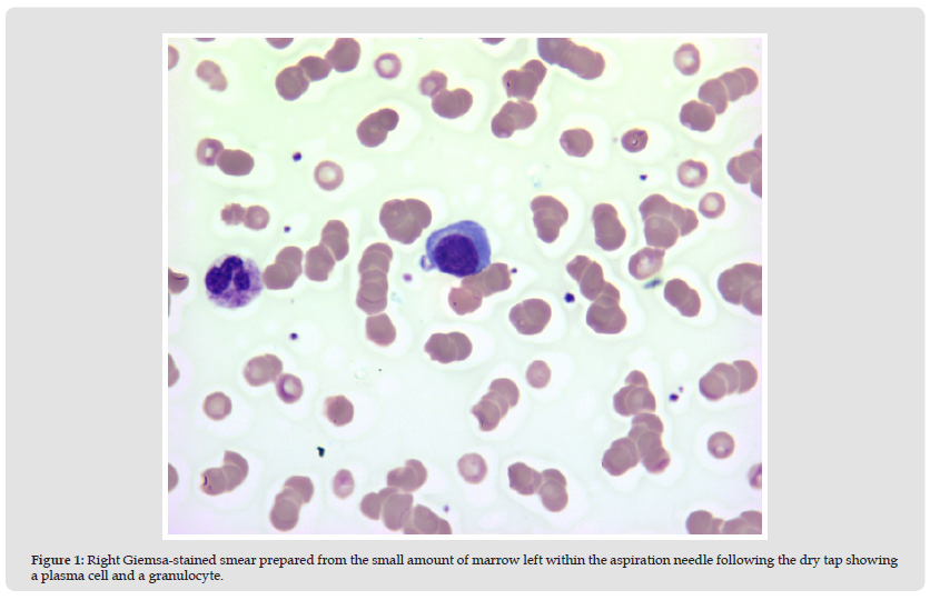
The gross or macroscopic examination which includes the colour, size, and other features of a trephine (core) biopsy specimen may be useful in identifying a diseased process even before sectioned and stained slides are examined. A case is presented where a gross macroscopic examination of the trephine (core) biopsy specimen revealed features indicative of bone marrow involvement by a malignant process. The patient is a 65-year-old white female who presented with a history of persistent productive cough for several months and increasing malaise and weakness [1]. She also complained of low back pain, weight loss, and blurred vision. Her laboratory investigations revealed raised plasma viscosity. A serum protein electrophoresis revealed a discrete band in the Gamma region which was typed as IgG kappa. Urinary Bence Jones protein was positive for kappa light chains. A pelvic x-ray showed a destructive lesion in the right ilium. A CT scan confirmed a 9 cm bony mass in the right ilium and a metastatic bone survey showed lytic lesions in the skull, humeri, and femurs. A bone marrow aspirate was a dry tap. However, smears made from the small number of materials left within the aspiration needle following the dry tap showed a few plasma cells (Figure 1).
The trephine (core) biopsy specimen (Figure 2) showed markedly hypercellular marrow (Figure 3) with massive infiltration by plasma cells (Figures 4 & 5) confirming the diagnosis. Unlike conventional bone marrow trephine (core) biopsy specimens which are usually deep red or reddish as in hypercellular marrow (myeloproliferative disorders/leukemia/lymphoma) or pale (pancytopenia/aplastic anemia) this particular biopsy specimen (Figure 2) appeared grossly abnormal, and it showed patches of yellowish (diseased marrow) and admixed with reddish residual hematopoietic marrow with some degree of plasma cell involvement. One important preanalytical observation, [although incorporated in the 2008 International Council for Standardization in Hematology (ICSH) guidelines but rarely documented in the standard BM requisition form], is the on-site evaluation related to the nature of aspirated material, trephine core length, and its gross appearance. As a result, there has been a paucity of literature surrounding the gross appearance of bone marrow trephine (core) biopsy and its diagnostic utility in routine hematopathology practice. We believe careful documentation of the gross appearance of a trephine (core) biopsy specimen (in conjunction with findings of other investigative procedures) may provide valuable clues for the morphological diagnosis.
